
Thymustumoren: Informatie voor patiënten
De thymus, ook wel zwezerik genoemd, is een klein orgaan dat zich achter het borstbeen bevindt, boven het hart. Het speelt een belangrijke rol in de ontwikkeling van het immuunsysteem, vooral bij jonge mensen. Naarmate je ouder wordt, wordt de thymus kleiner en verandert het grotendeels in vetweefsel.
Tumoren van de thymus
Een thymustumor is een gezwel dat ontstaat in de cellen van de thymus. Dit is zeldzaam, maar kan belangrijke gevolgen hebben. Er zijn verschillende soorten thymustumoren, waarvan de meest voorkomende zijn:
- Thymoom: dit is de meest voorkomende thymustumor. Het groeit meestal langzaam en blijft vaak beperkt tot de thymus.
- Thymuscarcinoom: dit is een agressievere vorm die sneller groeit en vaker uitzaait.
- Thymus neuro-endocriene tumoren (NETs): dit zijn zeldzame tumoren met specifieke eigenschappen die vaak behandeling op maat vereisen.
Wat zijn de klachten bij een thymustumor?
- Pijn of drukkend gevoel achter het borstbeen.
- Hoesten of kortademigheid
- Heesheid
- Zwelling in het gezicht of in de hals (bij vena cava superior syndroom)
Soms hangen klachten samen met een auto-immuunziekte zoals myasthenia gravis, een aandoening waarbij spierzwakte optreedt. Deze ziekte komt relatief vaak voor bij mensen met een thymoom.
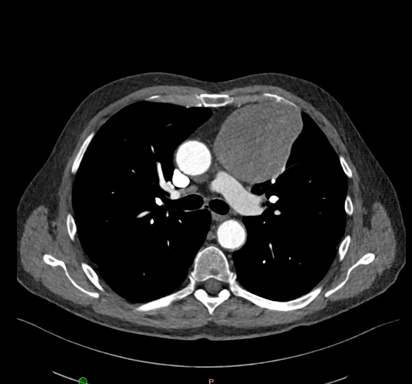
Onderzoek en diagnose
Hoe wordt een thymustumor vastgesteld?
- De arts begint met een gesprek en lichamelijk onderzoek. Bij verdenking op een thymustumor kunnen de volgende onderzoeken worden gedaan:CT-scan van de borstkas: om de grootte en ligging van de tumor in beeld te brengen.
- MRI of PET-scan: bij twijfel of er uitzaaiingen zijn of om de tumor beter te karakteriseren.
- Biopsie (weefselonderzoek): soms nodig om de aard van de tumor te bevestigen.
- Bloedonderzoek: om auto-immuunziekten of tumormarkers op te sporen.
Hoe wordt een thymustumor behandeld?
De behandeling hangt af van het type tumor, de grootte, de uitbreiding en de algemene gezondheid van de patiënt. Mogelijke behandelingen zijn:
- Chirurgie: als de tumor operabel is, wordt deze meestal volledig verwijderd. Dit is de voorkeursbehandeling bij thymomen. In ons centrum hebben we ruim 20 jaar ervaring met minimaal invasieve operaties met de DaVinci-operatierobot.
- Bestraling (radiotherapie): kan gegeven worden na de operatie of als de tumor niet volledig te verwijderen is.
- Chemotherapie: vooral bij thymuscarcinomen of als de tumor is uitgezaaid.
- Immuuntherapie of doelgerichte therapie: in studieverband of bij specifieke kenmerken van de tumor.
Vaak gestelde vragen
Waarom is een expertisecentrum belangrijk
Thymustumoren zijn zeer zeldzaam en gespecialiseerde zorg is nodig. Omdat thymustumoren weinig voorkomen, vindt de diagnose en behandeling vaak plaats in gespecialiseerde centra (zoals het Maastricht UMC+). Jaarlijks gaat het om tientallen tot honderd patiënten in heel Nederland, wat samenwerking in landelijke multidisciplinaire teams noodzakelijk maakt.
Hoe weet ik of ik geopereerd moet worden?
Of u geopereerd moet worden bij een thymustumor hangt af van verschillende factoren. De artsen (een cardiothoracaal chirurg en longarts in overleg met een multidisciplinair team) zullen dit zorgvuldig met je bespreken.
Wat gebeurt er als ik geopereerd moet worden?
Een dag voor de operatie wordt u opgenomen. De volgende ochtend wordt u met behulp van de Davinci Operatierobot geopereerd. Nadien verblijft u ongeveer 1.5 uur op de uitslaapkamer (verkoever) waarna u terug naar de verpleegafdeling gaat. De eerste dag mag u al uit bed. Gemiddeld blijven patienten 3 dagen in het ziekenhuis voordat ze naar huis kunnen.
Hoe vaak komt het voor?
Jaarlijks krijgen ongeveer 80–100 mensen in Nederland de diagnose thymustumor . In 2021 waren er 159 nieuwe diagnoses van tumoren in de thymus, waaronder zowel thymomen als thymuscarcinomen. Specifiek voor thymoom (de meest voorkomende vorm): de incidentie ligt rond 0,22–0,26 per 100.000 inwoners per jaar. Voor thymuscarcinoom is de incidentie kleiner, ongeveer 0,03–0,06 per 100.000. Een epidemiologische studie beschrijft alle thymische epitheliale tumoren (TETs: thymomen + carcinomen) met een incidentie van 3,2 per miljoen (wat overeenkomt met 0,32 per 100.000)
Wat zijn de voordelen van de DaVinci robot?
✅ Kleinere littekens
✅ Minder pijn na de operatie
✅ Korter ziekenhuisverblijf (vaak 2–4 dagen)
✅ Sneller herstel
✅ Minder bloedverlies
✅ Preciezere verwijdering (vooral belangrijk als de tumor dicht bij kwetsbare structuren ligt)